Many dentists report that their patients come to them complaining about having ‘chalky-teeth’. From time to time, a lot of people may notice that their teeth feel little rough and have a grainy, almost chalky feeling to them. So, what causes chalky teeth in adults?
If you ever experience your teeth feeling like this, it could be the sign of a serious dental health issue. Should your teeth ever feel ‘chalky’ it should be checked by your dentist to find the cause and to receive treatment or advice about how to manage it.
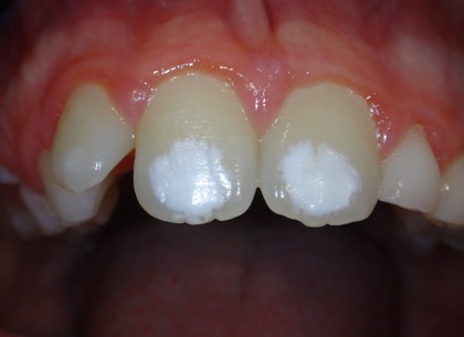
Main causes of Chalky Teeth
Sometimes having a gritty sensation on your teeth can be as a result of the foods you choose to eat. High-oxalate foods that contain an excess of oxalic acid can cause these issues. When oxalic acid meets with the calcium contained in your saliva, it is not easily broken down by the body so it can react to create tiny particles that leave an unpleasant chalky deposit on the surface of your teeth.
These symptoms are more often felt with people who eat a vegan or vegetarian diet high in leafy green vegetables. This is because plants contain high levels of oxalate.
If you brush your teeth after each meal, you may be able to clean away most of this build up from the surface of your teeth. However, if you don’t eat a lot of vegetables containing these anti-nutrients then you may have a condition called hypo-mineralisation.
What is Hypomineralization?
Hypomineralization is a condition where you have a decreased mineral content level in the protective enamel layer of your teeth. This can result in your teeth feeling soft and chalky.
This is most often seen in children where teeth tend to break more easily. Any child complaining of chalky-teeth should be taken to their dentist for a thorough oral examination. Adults can also develop hypomineralization, so it is a condition that should never be ignored, whatever your age!
What treatment is available for Chalky Teeth?
Your dentist will be able to give you an examination and an oral health check to establish the cause for your chalky teeth. Should the case be down to what you eat, then your dentist will recommend regular brushing and using mouthwash after each meal to help control the problem.
However, if your dentist discovers that your teeth are low in minerals, he or she may administer a topical mineralisation treatment. For children, this may mean applying a fluoride paste directly to their teeth to help strengthen the enamel layer.
Talk to your dentist if you are worried
Experiencing a gritty or chalky feeling in your mouth can be worrisome. However, you can put your mind at rest by visiting your dentist for a thorough check-up to find the cause. Should you find your teeth are getting worse over time or you are noticing your teeth chipping easily, see your dentist without delay.
